Teeth Whitening – Lutz, FL

Helping Smiles Sparkle

When you want to take better care of your oral health, one of the best solutions to consider is professional teeth whitening in Lutz. Using only the best products on the market, Dr. Tehrani will make sure your teeth sparkle like never before, leaving no traces of stains or discoloration behind. Your results will help you make a great first impression while also boosting your confidence and appearance. If it’s a more youthful smile that you truly desire, call to schedule a consultation today to discuss your decision to pursue teeth whitening.

Woman showing off teeth whitening results in Lutz

Who is a Good Candidate for Teeth Whitening?

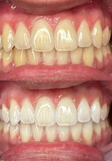
Before and after image of stained and whiter teeth

Determining who is a good candidate for teeth whitening requires that you meet with Dr. Tehrani for a consultation. While most individuals notice stains and unsightly blemishes caused by medications, dark-colored beverages, and lifestyle habits (i.e., smoking), these can be removed with safe and effective solutions. However, you will need to undergo more thorough screening to ensure you do not show any signs of decay, gum disease, or any other similar issue.

How Does Teeth Whitening Work?

Patient undergoing in-office teeth whitening

You will learn how both methods of teeth whitening work: in-office and take-home kits. We are fortunate to use the Opalescence products while performing in-house teeth whitening, as well as the KoR take-home kits to whiten on your own time.

Take-Home Teeth Whitening

Before equipping you with everything you need to achieve a whiter smile at home, we will go over how KoR whitening is used and ensure you have all the necessary instructions to achieve beautiful results. While in the comfort of your home, you will use the high-powered bleaching gel in combination with the customized trays to remove surface and deep-down stains from your teeth. Within two weeks, you should notice a dramatic change in your smile’s appearance.

In-Office Teeth Whitening

If you prefer to let our team take care of your brightening treatment, we can use the Opalescence system to create a radiant smile. After applying the ultra-strong whitening gel to your teeth, the solution will attack stains and discoloration, leaving your teeth whitening and brighter within one hour. Not only is it convenient, but it is also virtually painless.

Tips for Maintaining Your Brighter Smile

Woman brushing her teeth

Keeping your pearly whites brighter requires following specific instructions and possibly making some lifestyle changes. These include:

  • Giving up your smoking habit and no longer using smokeless tobacco or other similar products
  • Limiting your consumption or avoiding dark-colored beverages and foods, like coffee, tea, soda, berries, etc.
  • Continuing to see our team for regular dental checkups and cleanings.
  • Keeping up with your oral hygiene routine at home, as regular brushing can help remove some surface stains.
  • Eating lots of white, calcium-enriched foods, like yogurt, cheese, milk, etc.